Tomado de Histology guide
1. Falso pliegue vocal (o ventricular): Tiene como función principal proteger las cuerdas vocales verdaderas.2. Ventrículo laríngeo: Un divertículo lateral que separa los pliegues falsos arriba de las cuerdas vocales verdaderas abajo.3. Cuerda vocal verdadera: Son responsables de la producción de la voz.
4. Epitelio respiratorio: Epitelio cilíndrico seudoestratificado con cilios y células caliciformes.Células columnares pseudoestratificadas: Cuerpos basales visibles como una línea oscura en la base de los cilios.5. Células caliciformes: Estructuras ovales transparentes con núcleos heterocromáticos adyacentes a células columnares ciliadas. Tienen como función la síntesis y secreción de mucus.6. Membrana basal: Una banda amorfa, gruesa y rosada en la base del epitelio. Es la encargada de dar soporte estructural.
Tomado de Histology guide
Glándulas seromucosas: Conjunto de células en la que su secreción es mixta de proteínas y mucinas. También agregan humedad al aire y ayudan a atrapar contaminante.
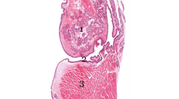
Tomado de Histology guide
7. Ligamento Vocal - Banda gruesa de tejido conectivo dentro de la lámina propia cerca de la superficie de la cuerda vocal.Epitelio escamoso estratificado no queratinizado: Cubre esta región de la laringe porque está sujeta a estrés mecánico.8. Músculo Vocal - Músculo esquelético que subyace y regula la tensión del ligamento vocal.




No hay comentarios:
Publicar un comentario